Буллезная гипертрофия носовых раковин (конхобуллез)
Содержание
- Носовые раковины
- Причины заболевания
- Симптомы конхобуллеза
- Классификация
- Диагностика конхобуллеза
- Лечение конхобуллеза
- Прогноз и профилактика
Носовые раковины (верхняя, средняя и нижняя) — это парные анатомические структуры носовой полости, отграничивающие носовые ходы и обеспечивающие большую площадь поверхности для согревания и увлажнения вдыхаемого воздуха. В некоторых случаях носовая раковина изначально представляет собой гипертрофированный (увеличенный) “пузырек” вместо плоской кости. Занимая большее пространство в носу, она постепенно приводит к изменению состояния околоносовых пазух и структур полости носа. Данное состояние называется конхобуллез. В Москве лечением гипертрофии носовых раковин занимается клиника ЛОР Центр.
Причины заболевания
Носовые раковины выполняют важные функции:
- Нижние направляют поток воздуха, обеспечивая максимальный контакт со слизистой оболочкой. Она действует как фильтр и улавливает любые частицы или аллергены, которые могут присутствовать во вдыхаемом воздухе, поэтому чаще подвергаются воспалению и отеку.
- Средние выполняют роль буфера, защищающего пазухи от прямого контакта с воздушным потоком.
- Верхние защищают область, отвечающую за обоняние.
Чаще всего патология носовых раковин связана с отеком или разрастанием слизистой оболочки, что приводит к сужению носовых ходов и затруднению носового дыхания. Возникает это в результате воспаления инфекционной, аллергической или иной природы.
Однако наряду с этим, существует такая врожденная особенность строения носовой раковины (чаще это касается средних носовых раковин), когда происходит увеличение раковины за счет изменения ее костной части. Вместо плоской кости она представляет собой костный “пузырек” (лат. “булла”). Находясь в полости носа в области сообщения с околоносовыми пазухами, такая увеличенная носовая раковина может привести к нарушению вентиляции и опорожнения пазухи, что в свою очередь является основой для развития синуситов. Также увеличенная в размере средняя носовая раковина может приводить к смещению других структур носа - перегородки носа и рядом лежащих носовых раковин, приводя к нарушению носового дыхания.
Симптомы конхобуллеза
Симптомы патологии включают:
- нарушение обоняния;
- затруднение дыхания носом;
- непроходящий насморк;
- дискомфорт в области верхних отделов носа, переносицы, околоносовых пазух;
- частые синуситы.
Зачастую жалобы вызывает не непосредственно конхобуллез, а последствия его возникновения - изменения со стороны перегородки носа, носовых раковин, околоносовых пазух. Хотя иногда в области контакта увеличенной носовой раковины и, например, искривленного участка перегородки носа, на фоне отека может возникать давящее ощущение и даже боль.
Классификация
Конхобуллез классифицируют по местоположению: гипертрофия верхней, средней или нижней раковины. Также существует система классификации по степени поражения, основанная на клиническом обследовании и компьютерной томографии.
Классификация по степени поражения:
- 1-я степень — 0-25% окклюзии (закрытия просвета);
- 2-я степень —26-50%;
- 3-я степень — 51-75%;
- 4-я степень — 76-100%.
Диагностика конхобуллеза
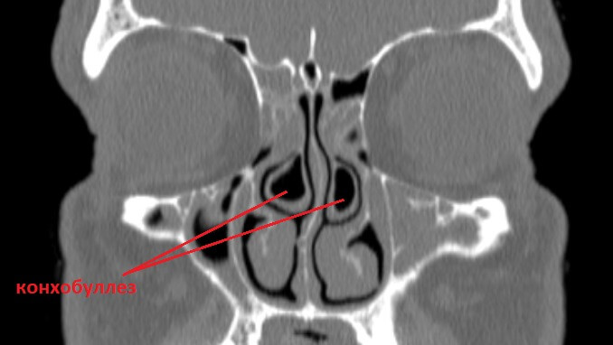
Заболевание можно заподозрить при проведении эндоскопического обследования полости носа, но подтверждается с помощью компьютерной томографии носа и околоносовых пазух. На томограмме четко видны локализация и степень поражения.
Лечение конхобуллеза
Конхобуллез не всегда требует какого-либо лечения. В случае небольших изменений он может не влиять на рядом лежащие структуры носа и носовое дыхание. Однако если гипертрофия носовой раковины достаточно выраженная, то единственным выходом является ее хирургическая коррекция. В ходе операции хирург под контролем эндоскопа удаляет часть костной капсулы “буллы” для уменьшения ее объема. При наличии сопутствующей патологии носа и пазух, дополнительное вмешательство (септопластика, вазотомия носовых раковин, синусотомия) проводится одномоментно с коррекцией буллезно измененной носовой раковины. Операция проводится под общим обезболиванием.
В клинике ЛОР Центр при заболевании «конхобуллез» лечение подбирается с учетом клинической картины.
Прогноз и профилактика
Прогноз у заболевания благоприятный. Хирургическая коррекция носовых раковин при конхобуллезе успешно устраняет заложенность носа и другие симптомы.